
Ірина Гергель
Як планувати ортодонтію від арки ротації і отримувати стабільний прикус
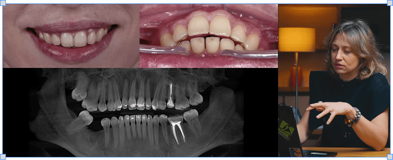
Арка ротації нижньої щелепи, ISC-імпланти для інтрузії, ортогнатична хірургія, калібровка оклюзії
Зареєструватися
Давай чесно.
В ортодонтії красивий прикус і стабільний прикус — не завжди одне і те саме
Будуєш план лікування в центральній оклюзії — на фініші бачиш гіперконтакти
Відпускаєш пацієнта з ретейнером, а через рік прикус нестабільний
Є таке діло
😔😔😔
А після цієї лекції:
Ти визначаєш ортопедично стабільне положення щелепи на першому прийомі
Пацієнт із кліком на початку лікування не стає пацієнтом зі скаргами на суглоб
Ти задаєш вертикаль на плануванні — і закриваєш відкритий прикус без інтрузії
(замість 1600 грн.)
795 грн.
Знижка дійсна до 6 березня
Зареєструватися

⚡Бонус
за реєстрацію
Ти отримаєш запис лекції "Швидкий
розрахунок висоти прикусу по ТРГ"
Програма лекції:
Як розпізнати
нестабільну оклюзію
до початку лікування
Що ховається за естетично завершеним прикусом і чому шість ключів оклюзії не гарантують відсутність скарг на суглоб
→ Ти бачиш ознаки функціональної нестабільності на консультації
Як розпізнати
нестабільну оклюзію
до початку лікування
Що ховається за естетично завершеним прикусом і чому шість ключів оклюзії не гарантують відсутність скарг на суглоб
→ Ти бачиш ознаки функціональної нестабільності на консультації