Все про техніки фарбування циркону
Як мислити палітрою MiYo / MIA, а не «баночками»
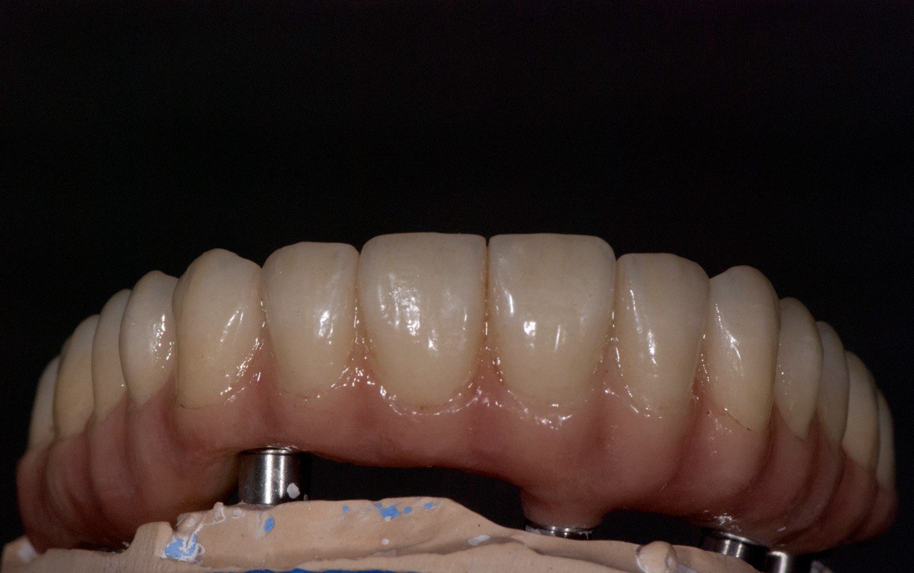
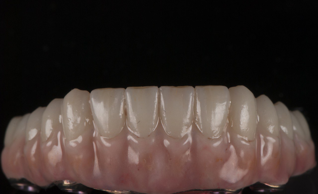
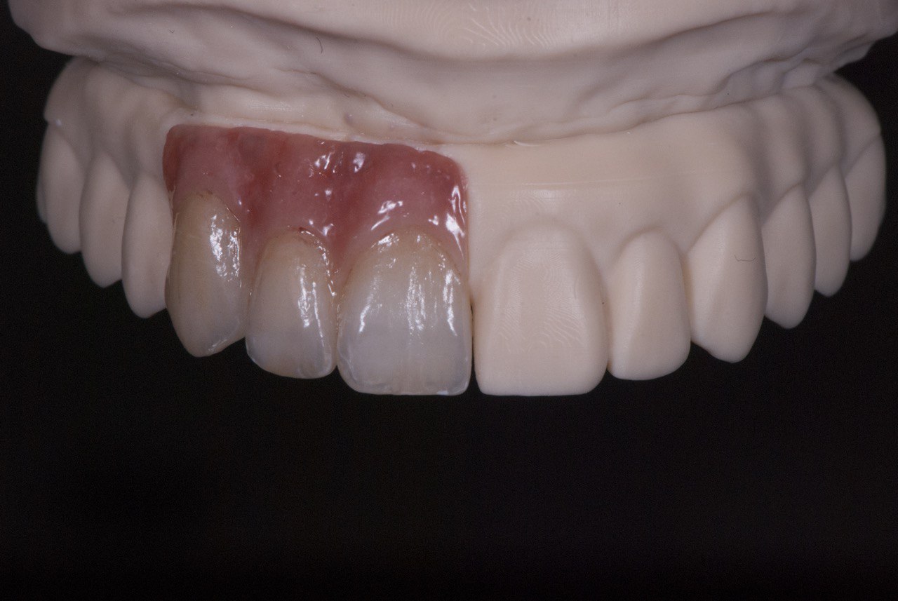
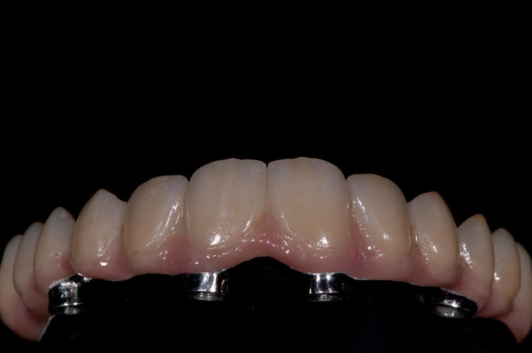
Все про біло-рожеву естетику з цирконом
Зареєструватися
Принципи роботи з кольором зубів і ясен, баланс форми, світла та прозорості
1
Сучасні лінійки циркону, відмінності, показання та вибір під клінічну задачу
2
Циркон у роботі техніка: матеріали та їх поведінка
3
Логіка роботи з кольорами, міксування відтінків, створення глибини та натуральності
Палітра MiYo / MIA: мислення кольорами
Як підібрати техніку під різні клінічні ситуації, уникати «плоских» реставрацій
4
Техніки фарбування: коли та яку обрати
Правильне використання для підсилення анатомії та розуміння, коли вони будуть зайвими
5
Структурні маси MiYo: коли потрібні, а коли ні
Має 4 власних лабораторії
Чорний пояс по циркону і фарбам
Андрій Гулєй
Зареєструватися




