Як правильно підготувати поверхню зуба
Все про ключ для переносу в ротову порожнину
Зареєструватися
1
2
Створення ключа для переносу
3
Все про препарування і правильу підготовку поверхні зубів для надійної адгезії композиту
Пошарова техніка введення, контроль полімеризації, уникнення порожнин
4
Інʼєкційна техніка та полімеризація
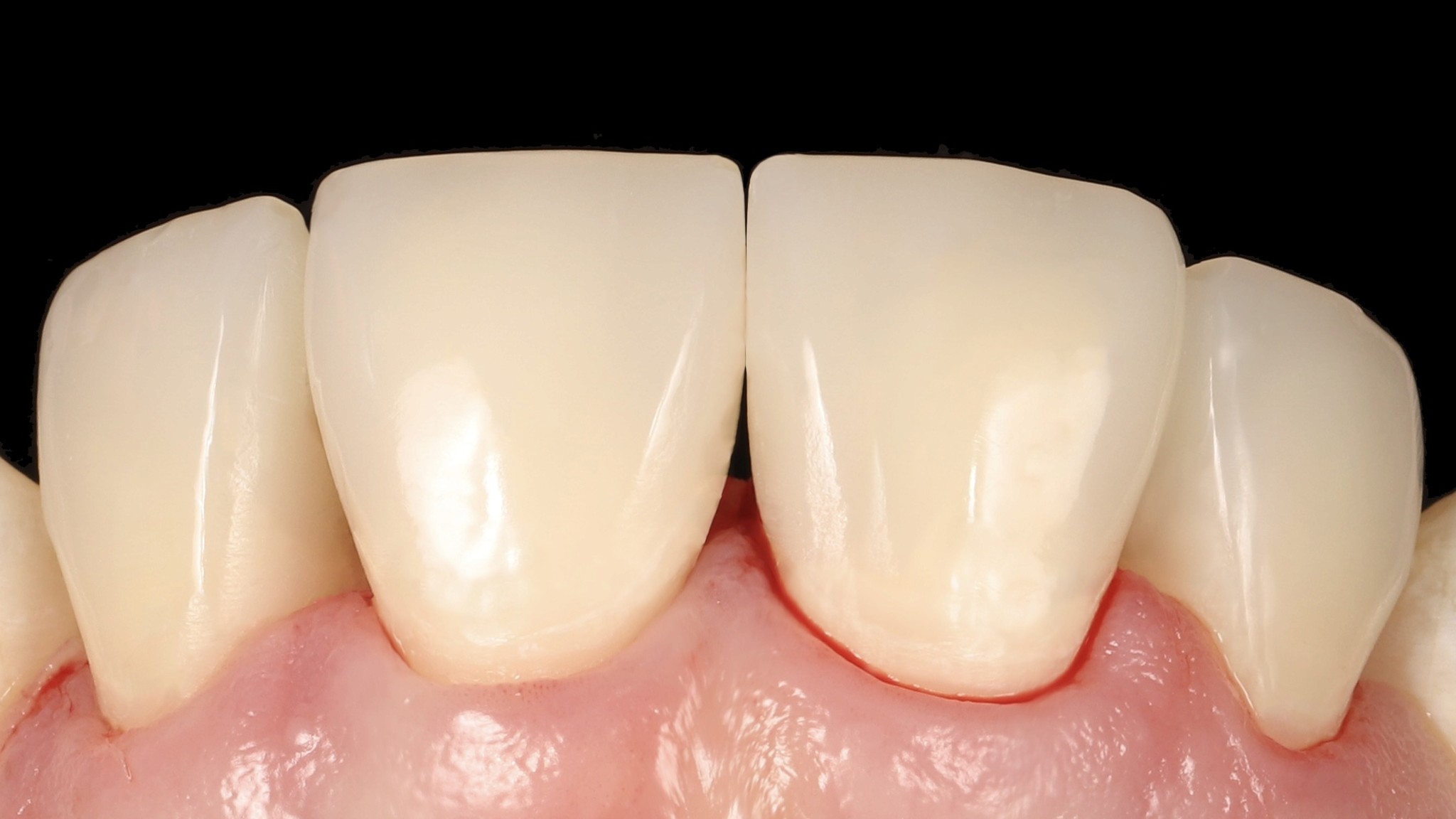
Як і чим полірувати композит і як досягти природнього блиску реставрацій
5
Фінішна обробка та полірування
Зареєструватися
Фокусується на естетичній стоматці
Шарить за адекватні протоколи
Влад Лях





