Наталя Орлова
Мікроімпланти в ортодонтії: вибір зони, постановка і контроль нестабільності
Вибір зони і типу імпланта під задачу, маршрут і протоколи встановлення, контроль нестабільності
Зареєструватися
Ставили імплант з великою головкою яка травмувала слизову
А після цієї лекції:
→ Завжди
обираєш правильний тип імпланту
→ Точно знаєш знаєш зону для постановки імпланту
→ Бачиш рухомість і знаєш коли і що з цим треба робити
Отримай
запис лекції
(замість 1600 грн.)
Зі знижкою: 795 грн.
Знижка дійсна до 15 квітня
Зареєструватися
Програма:
Як обирати тип і розмір мікроімпланта
Матеріал, геометрія і параметри — що і чому для кожної локації
→ Обираєш імплант під конкретну зону і задачу
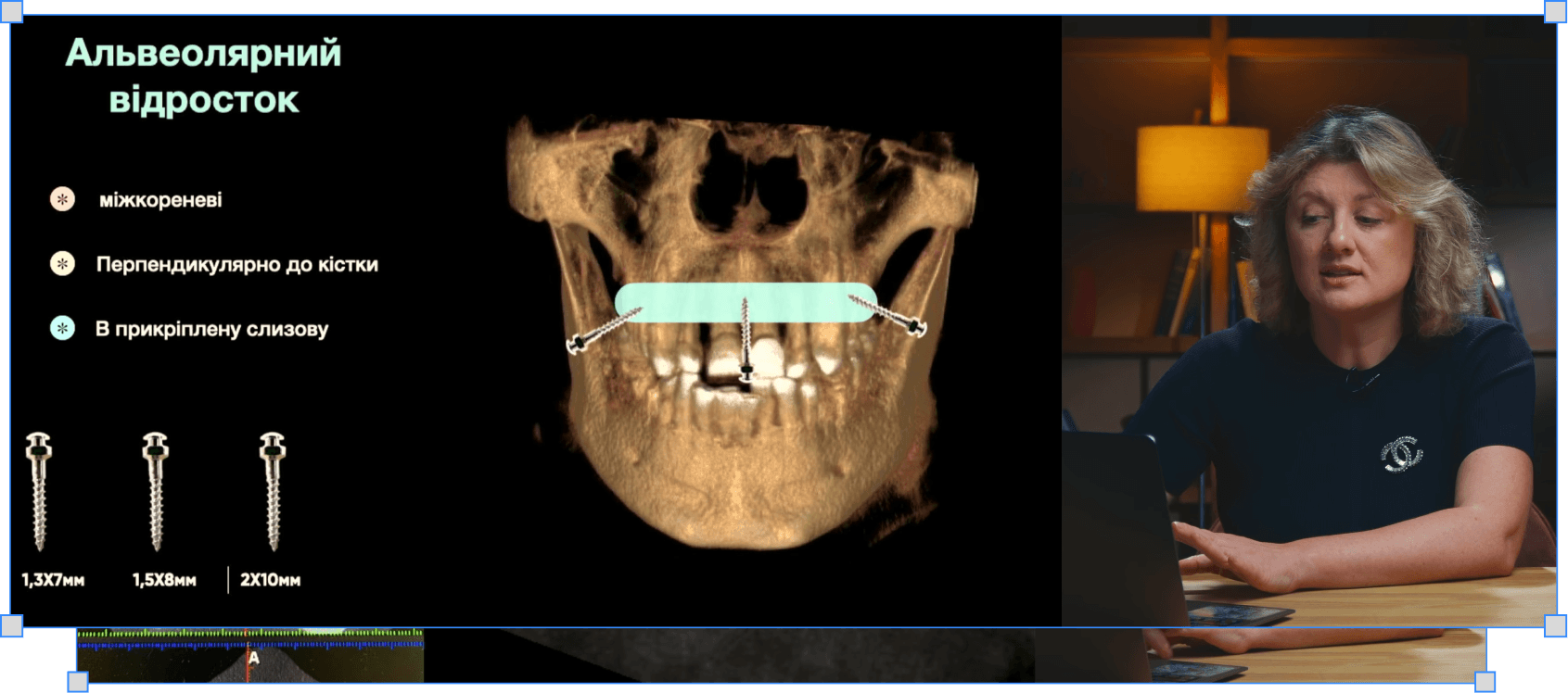
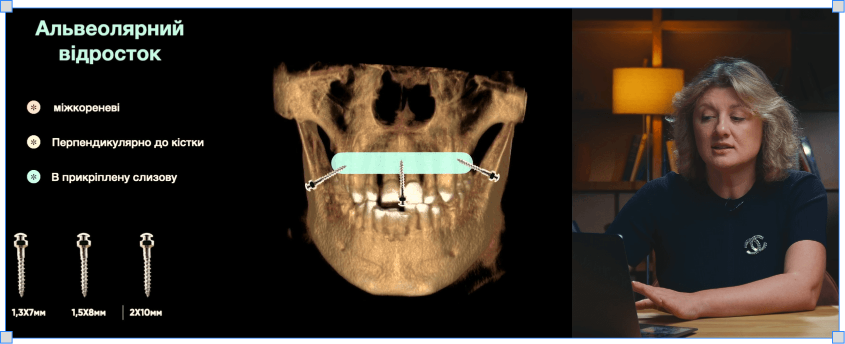
Як знайти правильне місце встановлення
Орієнтири, маркування і положення відносно слизової до першого руху свердлом
→ Встановлюєш точно між коренями без несподіванок на рентгені
Як встановлювати на зовнішній косій лінії
Чому ця зона окрема і що змінюється в протоколі порівняно зі стандартним встановленням
→ Мікроімплант стоїть стабільно в щільній кортикалці
Як давати навантаження і контролювати переміщення
Сили, вектори і момент коли треба реагувати — не пропустити і не переграти
→ Зуб рухається за планом і ти не пропускаєш момент перестановки
Як зменшити ризики відторгнення і нестабільності
На що дивитись одразу після встановлення мікроімпланту і що це означає для лікаря
→ Бачиш рухомість і знаєш що з цим робити
navychka – незалежний проект горизонтальної освіти лікарів


