Остап Формус
Другий клас з видаленням: таймінг екстракції, вибір премоляра і закриття проміжку
Коли видаляти залежно від скученості чи трем, асиметричний вибір четвірки і п'ятірки щоб закрити проміжок рівно
Зареєструватися
Видаляли симетрично — центральна лінія пішла не туди
А після цієї лекції:
→ Вибираєш момент видалення і сторону залежно від скученості
→ Підв'язуєш дистопований зуб і не форсуєш дугу раніше часу
→ Фіксуєш ретейнер до зняття брекетів і не втрачаєш ротацію
Отримай
запис лекції
(замість 1600 грн.)
Зі знижкою: 795 грн.
Знижка дійсна до 15 квітня
Зареєструватися
Програма:
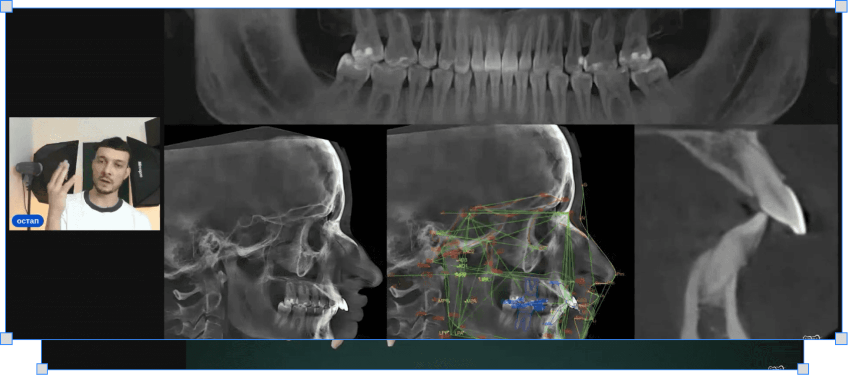
Як діагностувати другий клас для видалення
Фотографії, аналіз скученості і трем — що дивитись і в якому порядку до будь-якого рішення
→ Бачиш скученість, треми і куди рухати зуби
Як визначити таймінг і вибір видалення
Коли видаляти, коли чекати і що змінюється залежно від стану кістки
→ Зуби рухаються в свіжу кістку і проміжок закривається швидше
Як асиметрично видаляти премоляри верхнього ряду
Логіка вибору — четвірка чи п'ятірка, з якого боку і чому це не завжди симетрично
→ Видаляєш з урахуванням скученості і центральної лінії
Як підв'язувати зуб перед вставкою дуги
Що робити з дистопованим зубом до того як ставити дугу — і навіщо це окремий крок
→ Сусідні зуби не протрузують поки ікло виходить на місце
Як фіксувати ретейнер і знімати брекети
Послідовність на фінальному етапі — що робити першим і чому порядок важливий
→ Зуб не повертається в ротацію після зняття
navychka – незалежний проект горизонтальної освіти лікарів


