Дмитро Ковальчук
Сплінт-терапія, що стабілізує суглобовий диск — від аксіографії до фіксації
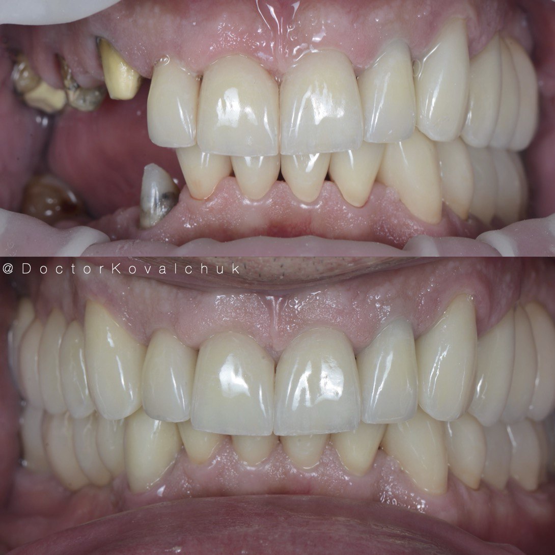
Реєстрація прикусу зі зміщеним диском, двостороння збалансована оклюзія і перехід на сплінт — повний протокол
Зареєструватися
Після фіксації сплінту контакту немає. Ти шліфуєш — і робиш гірше
А після цієї лекції:
→ Фіксуєш сплінт в правильній позиції. А не звичній для пацієнта
→ Капа розвантажує суглобовий диск на всіх рухах щелепи — не тільки в оклюзії
Отримай
запис лекції
(замість 1600 грн.)
Зі знижкою: 795 грн.
Знижка дійсна до 11 березня
Зареєструватися
Програма:
Як читати треки аксіографії і результати "готичної стрілки" пацієнта
Протрузійний трек і готична стріла: як виглядає норма, ретропозиція суглобової голівки і момент вправлення суглобового диску
→ Трек чітко показує, де голівка і що відбувається з диском
Як реєструвати прикус зі зміщеним суглобовим диском
Опорний шифт і готична стріла — як виміряти відстань до вправлення диску на треку аксіографії. Мануальне вправлення для роботи без аксіографа
→ Сплінт фіксується в позиції з вправленим диском
Як моделювати сплінт з двосторонньою збалансованою оклюзією
Лінгвалізована статична оклюзія, запис динамічних жувальних рухів на восковий прототип, чому капу не шліфують одразу після фіксації
→ Капа розвантажує суглобовий диск на всіх рухах щелепи
Як застосовувати депрограматор і контролювати результат
Передній депрограматор перед реєстрацією прикусу, аналіз точки аддукції і вершини готичної стріли, коли прогресу немає
→ Точно розумієш, чи пацієнт депрограмований
Дошліфовка сплінту після фіксації: коли, як і чи взагалі треба
Чому після фіксації контакту немає і що з цим робити. Коли шліфувати, коли чекати і як перевірити, що капа розвантажує суглоб правильно
→ Більше не шліфуєш навмання — є протокол перевірки

Дмитро Ковальчук
Головний лікар, керівник та співзасновник клініки MAMONT у м. Харків
Фоксуєуться на функціональній та естетичній реабілітації
Отримай
запис лекції
(замість 1600 грн.)
Зі знижкою: 795 грн.
Знижка дійсна до 11 березня
Зареєструватися
navychka – незалежний проект горизонтальної освіти лікарів






