Кирило Антоненко & Богдан Вербенець
Все про лабораторні тимчасові: Wax-up, препарування, перенос і фіксація
Повний протокол – від препарування і ретракції до ізоляції і фіксації тимчасових конструкцій
Зареєструватися
А після цієї лекції:
→ Тимчасові стають інструментом підготовки, а не просто етапом
→ Отримуєш здорові м'які тканини і чисте поле на примірці і фіксації постійних
Отримай
запис лекції
(замість 1600 грн.)
Зі знижкою: 795 грн.
Знижка дійсна до 11 березня
Зареєструватися
Програма:
Як будувати цифровий ваксап в Exocad під фінальний обʼєм
Як порівняти ваксап з ситуацією в роті в Exocad і отримати конкретні цифри зняття по кожній зоні до того,
як взяв бор у руки
→ Ваксап одразу показує, де і скільки знімати під кераміку
Все про скани і
ретракцію ясен без ризиків рецесій
Чому кольоровий скан = конструкція може не досісти. Ретракція – калібри, тривалість, профілактика ішемії та рецесій
→ Не компенсуєш поганий відбиток кольором: або ретракція, або нічого
Глибина препарування і контроль зняття тканин на прийомі
Фрезер і принтер "з'їдають" гострі краї й нерівності, тому простіший дизайн препарування = менше доробки техніком і вища прецезійність
→ Техніку завжди достатньо місця і конструкції сідають
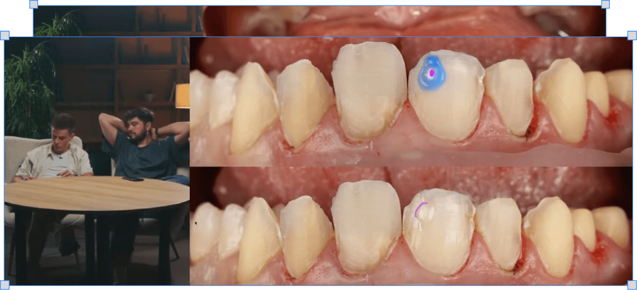
Як ізолювати зуби
перед перенесенням тимчасових
Коли і навіщо наносити гліцерин після IDS, білдапів і герметизації дентину; чому гліцеринові гелі для УЗД не дають потрібного результату
→ Тимчасові знімаються без зусиль, бо між матеріалом і зубом є ізоляція
Як переносити тимчасові через мантель і що робити одразу після
Техніка нанесення гліцерину , вдягання мантеля, момент зняття по підзастиганню бісакрилу і корекція країв перед фіксацією
→ Тимчасові сидять без фіксатора і знімаються коли потрібно
Отримай
запис лекції
(замість 1600 грн.)
Зі знижкою: 795 грн.
Знижка дійсна до 11 березня
Зареєструватися
navychka – незалежний проект горизонтальної освіти лікарів


