Як відрізнити нормальну консолідацію від затримки
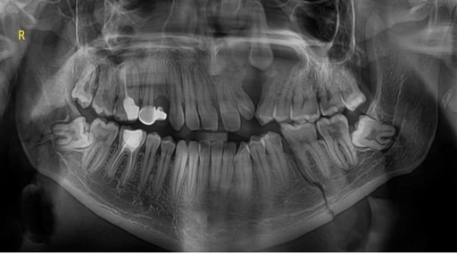
Як розпізнати перелом у межах зубного ряду
Алгоритм діагностики переломів нижньої щелепи
Зареєструватися
1
2
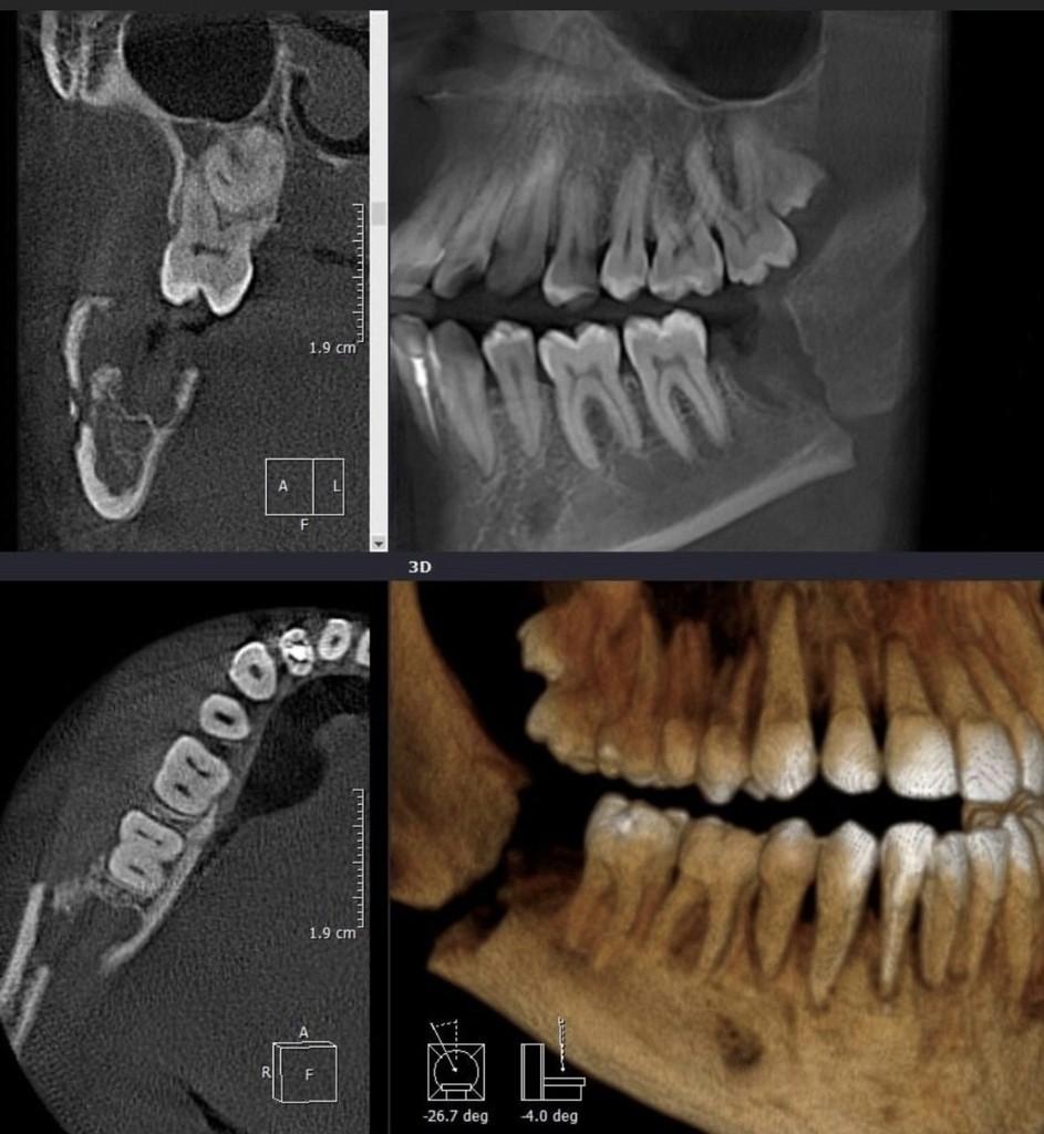
Роль КПКТ у діагностиці травм
3
Затримки консолідації, формування хибного суглоба, ураження зубів у зоні перелому
Лінії розлому, зміщення, фрагментацію; етапи зрощення та нормальної консолідації
4
Ознаки переломів і оцінка консолідації
Розглянете нестандартні випадки травм зубощелепної системи з клінічної практики лектора
5
Клінічні випадки
з практики
Зареєструватися

Все про КПКТ діагностику травм зубів і щелеп
Фокусується на КПКТ-діагностиці
Бачила дуже багато травм щелеп
Катя Нестуля




